search

Фильтры

Давыдковская, 5

м. Славянский бульвар

Партизанская, 41

м. Молодёжная

Версия для слабовидящих

Аппаратура и опыт врача имеют значение!

Дата публикации: 22 октября 2025
Обновление: 19 ноября 2025
Время прочтения 1 минута
Просмотров: 2315
Аппаратура и опыт врача имеют значение!

Убеждаемся в этом неоднократно, а об одном из таких случаев рассказываем ниже🔽

На прием к травматологу обратилась молодая женщина с жалобой на периодические ноющие боли в правом голеностопном суставе. Возникли после травмы ноги неделю назад, но в районном травмпункте перелом не выявили.

Хирург-травматолог, к.м.н. ГК Evolutis Clinic Кученков Александр Викторович направил пациентку на рентген и МРТ голеностопного сустава, так как клинические тесты показывали повреждение связочного аппарата сустава.

Результаты:

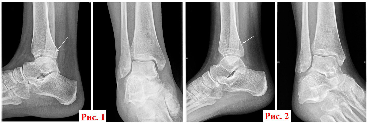
  • На рентгенограммах правого голеностопного сустава: перелом заднего отдела правой большеберцовой кости без смещения отломков (рис. 1).
  • МРТ показало перелом заднего края большеберцовой кости, разрыв передней тибио-фибулярной связки, частичный разрыв задней тибио-фибулярной и пяточно-малоберцовой связок, частичное повреждение дельтовидной связки. Умеренный суставной выпот.

Причина жалоб ясна (спасибо современной аппаратуре, опыту и вниманию врачей), назначено консервативное лечение💊

3 недели спустя провели контрольный рентген правого голеностопного сустава (рис. 2). Консолидированный перелом задней лодыжки (костная мозоль - стрелка). Пациент уверенно идет на поправку. А мы уверены, что причину любых жалоб можно найти, особенно когда за дело берутся профессионалы, а помогает современное оборудование.

 
Есть вопросы?

Тема будет отображаться в заголовке (максимум 100 знаков)

Подробное описание вопроса (максимум 2 000 знаков)

Автор статьи

Команда врачей ГК Evolutis Clinic
Наверх

Сопутствующие услуги

3
plus Анализы

м. Славянский бульвар

м. Молодёжная

Подробнее
plus Рентген

м. Славянский бульвар

Подробнее
plus Травматология-ортопедия

м. Славянский бульвар

м. Молодёжная

Подробнее

Спондилолиз и спондилолистез

22 октября 2025
Просмотров: 2000

«Развод» на ненужные исследования

22 октября 2025
Просмотров: 2342

Когда боль в ноге — сигнал тревоги

19 ноября 2025
Просмотров: 2213

Когда внимательность спасает жизнь

19 ноября 2025
Просмотров: 958