search

Фильтры

Давыдковская, 5

м. Славянский бульвар

Партизанская, 41

м. Молодёжная

Версия для слабовидящих

Стресс-переломы или почему нужна осторожность, постепенность и активность

Дата публикации: 17 октября 2025
Обновление: 19 ноября 2025
Время прочтения 1 минута
Просмотров: 1451
Стресс-переломы или почему нужна осторожность, постепенность и активность

Интересный случай произошел на приеме травматолога-ортопеда — обратился пациент с жалобами на боль в ноге, которая появилась после долгого хождения с женой по Торговому центру. Травм не было.

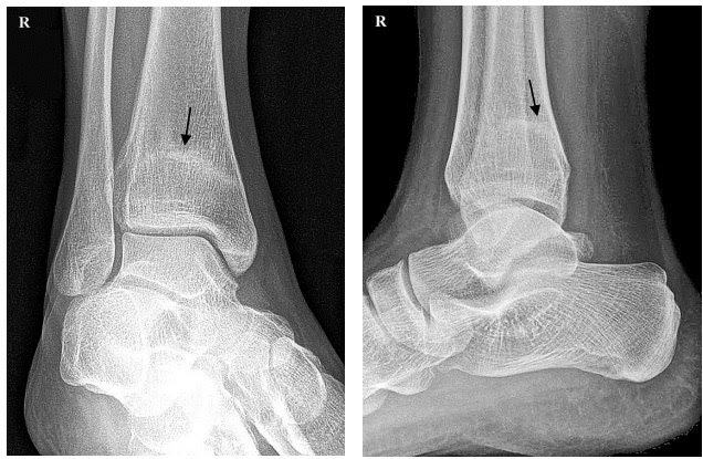
На осмотре заметен отек в виде муфты выше голеностопного сустава, клинические тесты показывают признаки перелома. Рентген подтвердил предварительный диагноз — стресс- перелом большеберцовой кости (стрелка).

Усталостный или стрессовый перелом — результат накопившихся микротравм кости из-за слишком больших физических нагрузок. При этом утомленные мышцы не справляются с ударной нагрузкой и передают ее на кости, вызывая их повреждение.

Стресс-переломы чаще всего возникают на костях ног от стопы до таза. Обычно нет существенных смещений отломков, а часто и явных симптомов. Но при игнорировании травмы могут быть серьезные последствия, вплоть до инвалидизации.

Такие переломы характерны для спортсменов и особенно при интенсивных тренировках после перерыва. Среди пациентов встречаются не только спортсмены, но обычные люди разных возрастов. Фактор риска — малоподвижный образ жизни, когда кости без нагрузки стремительно теряют плотность. Пик обращений был после локдауна, но сейчас есть 1–2 случая в неделю.

Если в планах начать пробежки весной, то наращиваем время и расстояние пробежки постепенно. И не оставляем без внимания какие-то жалобы даже если не было падений и травм.

 
Есть вопросы?

Тема будет отображаться в заголовке (максимум 100 знаков)

Подробное описание вопроса (максимум 2 000 знаков)

Автор статьи

Команда врачей ГК Evolutis Clinic
Наверх

Сопутствующие услуги

3
plus Анализы

м. Славянский бульвар

м. Молодёжная

Подробнее
plus Рентген

м. Славянский бульвар

Подробнее
plus Хирургия

м. Славянский бульвар

Подробнее

Не было бы счастья, да несчастье помогло

17 октября 2025
Просмотров: 1175

Нервная система и витамины

22 октября 2025
Просмотров: 1591

Самые частые головокружения, с которыми обращаются к неврологу

17 октября 2025
Просмотров: 359

Как почистить ауру?

17 октября 2025
Просмотров: 3473