search

Фильтры

Давыдковская, 5

м. Славянский бульвар

Партизанская, 41

м. Молодёжная

Версия для слабовидящих

Теносиновит Де Кервена

Дата публикации: 22 октября 2025
Обновление: 19 ноября 2025
Время прочтения 1 минута
Просмотров: 1411
Теносиновит Де Кервена

В нашу клинику обратилась молодая женщина (35 лет), красавица, спортсменка, которая с детства занималась большим теннисом и гольфом. Жалобы на боль в правом запястье, ограничение подвижности большого пальца.

При осмотре выявлено:

  • Отек запястья в области тыльного основания правого большого пальца.
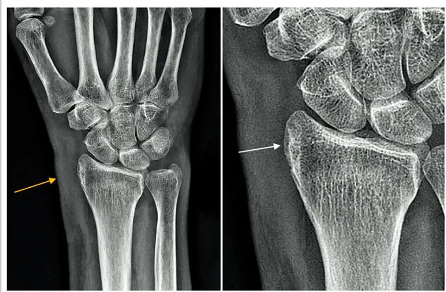
  • Положительный клинический тест Финкельштейна — боль в тыльно-лучевом отделе запястья при локтевом отклонении запястья с кулаком, сомкнутым над согнутым большим пальцем (черная стрелка).

Пациента направили на рентгенографию правого запястья с диагнозом: тендопатия правого запястья.

Результаты рентгенографии — на фоне локальной остеопении шиловидного отростка лучевой кости слабо выраженное прилегание надкостницы (белая стрелка) и отек мягких тканей (желтая стрелка).

Заключение: Рентгенологические признаки теносиновита Де Кервена.

После адекватного лечения пациентка вернулась к активной трудовой деятельности, рекомендовано воздержаться от занятий спортом в течение месяца.

 
Есть вопросы?

Тема будет отображаться в заголовке (максимум 100 знаков)

Подробное описание вопроса (максимум 2 000 знаков)

Автор статьи

Команда врачей ГК Evolutis Clinic
Наверх

Сопутствующие услуги

3
plus Рентген кисти

м. Славянский бульвар

м. Молодёжная

Подробнее
plus Анализы

м. Славянский бульвар

м. Молодёжная

Подробнее
plus Ортопедия

м. Славянский бульвар

м. Молодёжная

Подробнее

Диссеминированный (милиарный) туберкулез легкик

22 октября 2025
Просмотров: 1205

Травма с долгосрочными последствиями

22 октября 2025
Просмотров: 1163

Компрессионный перелом позвоночника

21 октября 2025
Просмотров: 1837

Офтальмология и урология — необычный детективный тандем

21 октября 2025
Просмотров: 1945