search

Фильтры

Давыдковская, 5

м. Славянский бульвар

Партизанская, 41

м. Молодёжная

Версия для слабовидящих

Травма с долгосрочными последствиями

Дата публикации: 22 октября 2025
Обновление: 19 ноября 2025
Время прочтения 1 минута
Просмотров: 1160
Травма с долгосрочными последствиями

Получить травму с долгосрочными последствиями легче, чем кажется. А еще в медицине важен принцип — доверяй, но проверяй. Делимся одним случаем из практики наших врачей🔽

Молодой человек повредил голень с наружной стороны упавшей и разбившейся стеклянной полкой. В травмпункте рану обработали и ушили. Также после травмы развилась слабость тыльного сгибания стопы, не получалось поднять пальцы стопы вверх.

Пациент обратился в нашу клинику к травматологу-ортопеду. Направлен на УЗИ мягких тканей и на консультацию к неврологу. При осмотре невролог заметил снижение чувствительности ниже места раны.

Предположили повреждение малоберцового нерва. Рекомендовано проведение стимуляционной электронейромиографии (ЭНМГ) нервов левой голени.

  • По УЗИ выявлен небольшой отек поверхностного малоберцового нерва (отвечает за чувствительность в стопе) и признаки повреждения мышц.
  • Исследование проводимости по нервам, сделанное в другой клинике, показало повреждение поверхностного малоберцового нерва и снижение мышечного ответа мышцы, разгибающей стопу (признак повреждения основного ствола малоберцового нерва).

У невролога возникло сомнение в результатах ЭНМГ, исследование повторили. И не зря! Ответ мышцы, разгибающей стопу, был в норме, что указывало на отсутствие неврологической причины слабости в стопе.

Для дальнейшей диагностики назначили МРТ мягких тканей и нервов левой голени на уровне травмы.

МРТ было сделано в стороннем учреждении, пациент пришел на прием с результатами. В заключении описывалось, что поврежден только поверхностный малоберцовый нерв.

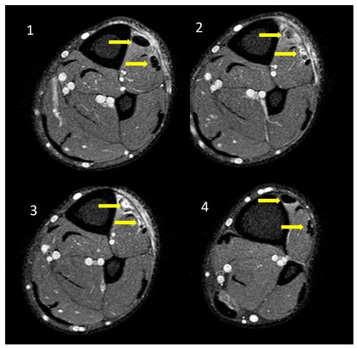
И опять у невролога возникли сомнения относительно верности интерпретации исследования, в связи с чем врач обратился к врачу МРТ с диском. И опять не зря! По снимкам выявлено выраженное повреждение сухожилий передней большеберцовой и длинной малоберцовой мышц, что и прояснило причину нарушения движений в левой стопе. На рисунке стрелками указаны поврежденные сухожилия — вначале целые, потом разрыв, затем вновь нормальная структура.

Дальнейшее лечение, скорее всего оперативное, пациент будет проводить у травматолога-ортопеда.

 
Есть вопросы?

Тема будет отображаться в заголовке (максимум 100 знаков)

Подробное описание вопроса (максимум 2 000 знаков)

Автор статьи

Команда врачей ГК Evolutis Clinic
Наверх

Сопутствующие услуги

3
plus Анализы

м. Славянский бульвар

м. Молодёжная

Подробнее
plus Неврология

м. Славянский бульвар

м. Молодёжная

Подробнее
plus МРТ

м. Славянский бульвар

м. Молодёжная

Подробнее
Анализы
Биопсия

Домашние животные и гельминтозы — есть ли риски для человека?

25 августа 2025
Просмотров: 6073

Шел, поскользнулся, упал — травма

22 октября 2025
Просмотров: 1447

Теносиновит Де Кервена

22 октября 2025
Просмотров: 1415

Диссеминированный (милиарный) туберкулез легкик

22 октября 2025
Просмотров: 1205